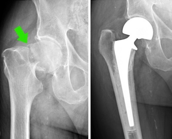
Paciente de 102 anos tem alta após recuperação de fratura
Membros do Conselho de Jovens Empresários da Associação Comercial do Pará (Conjove/ACP) visitaram a Beneficente Portuguesa e conheceram as novas instalações do Hospital São João de Deus.
A visita faz parte de uma agenda nacional para apoio a instituições de saúde, de capitais e outras cidades brasileiras.
Serviços laboratoriais a pacientes internados
A visita da imagem peregrina ocorrreu no dia 16 de outubro
Hospital Beneficente Portuguesa celebra a data no dia 08 de outubro e alia tradição à modernidade